Վերականգնում

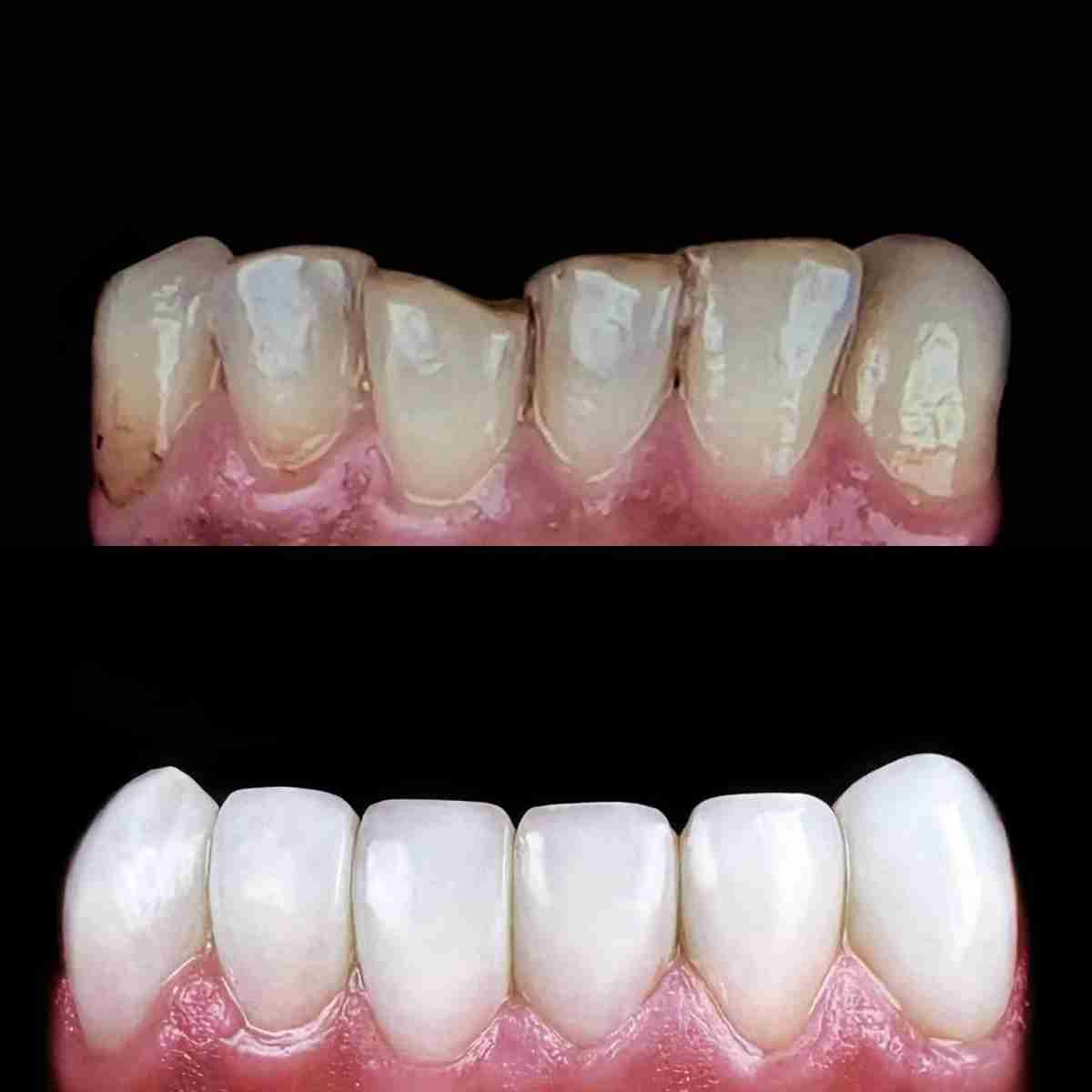
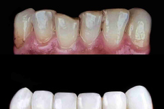
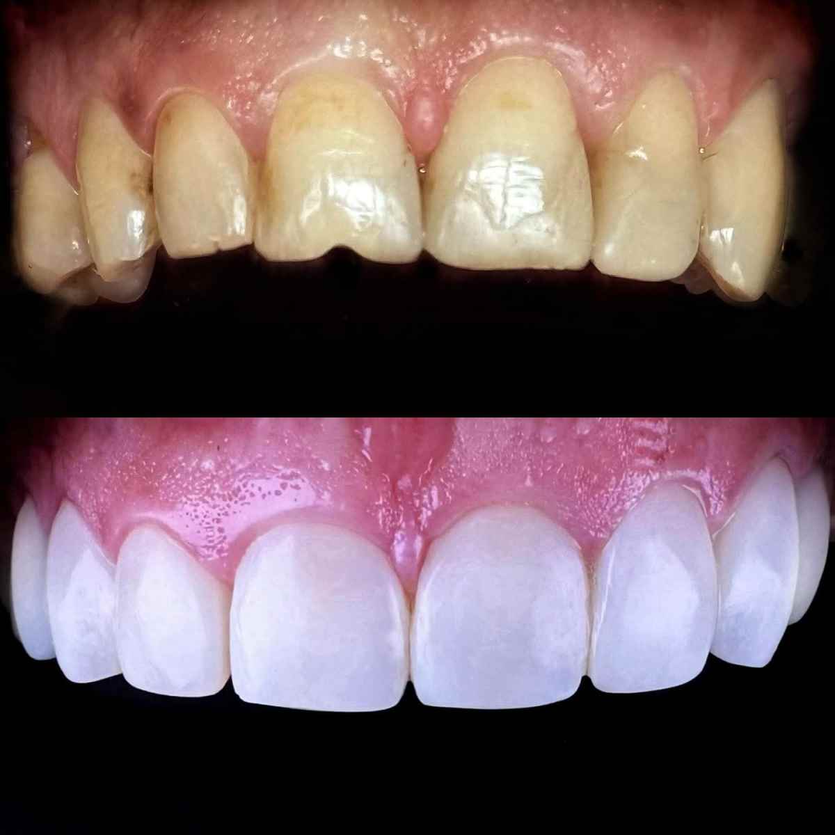
Ատամի վերականգնումը իրենից ներկայացնում է ժամանակակից և էֆեկտիվ մեթոդների կոմպլեքս, որոնք կարող են ատամին տալ ոչ միայն հիմնական ֆունկցիոնալ և ծամողական համակարգի վերականգնում, այլ նաև ապահովել շլացուցիչ ժպիտ: Այսպիսի վերականգնումը կոչվում է նաև էսթետիկ կամ գեղարվեստական, որովհետև նրա վերջնական նպատակը ատամի արտաքին գրավիչ տեսքը ստանալն է:
Խնդիրներ, որոնք կարող է լուծել ատամի էսթետիկ վերականգնումը՝

  • Ատամի ոչ հարթ կառուցվածք
  • Ատամի մի մասի կամ 50%-ից ավելի կոտրվածք
  • Միջատամնային տարածությունների վերականգնում
  • Ատամի էմալի մգեցում
  • Ատամի հյուսվածքների մեծ մակերեսային ախտահարումներ

Միայն ֆունկցիոնալ և անատոմիապես ճշգրիտ կատարված ռեստավրացիան (պլոմբավորումը) կարող  է վերականգնել ատամի բոլոր ֆունկցիաները: Այդ պատճառով ատամի իրական ֆունկցիան վերականգնելու համար պետք է վերարտադրել նրա բնական կառուցվածքը: Եթե պլոմբավորումը կատարվի ոչ ճշգրիտ և հարթ, ապա ծամելու ընթացքում տեղի կունենա սննդի ոչ լիարժեք մանրացում: Բացի այդ, սխալ պլոմբավորման հետևանքով ատամի ծամողական ճնշումը կբաշխվի ոչ հավասարաչափ, կընկնի ատամի սեփական հյուսվածքների վրա, որի պատճառով կարող է առաջանալ ատամի պատի կոտրվածք: Կարևոր է նաև, որ պլոմբանյութը նկատելի չլինի: Պետք է ընտրել ատամի գույնին համապատասխան պլոմբանյութ, ճիշտ հարթեցնել պլոմբային մակերեսը՝ ատամի էմալին համարժեք փայլ ստանալու համար:

Մեր ատամնաբուժարանում աշխատանքի համար մենք փորձում ենք ընտրել նյութեր փորձված արտադրողներից, որոնք այսօր խորհուրդ են տրվում շուկայում: Մեր հիվանդներին հնարավորություն ենք տալիս ընտրելու վերականգնման նյութը: Այդ պահանջներին համապատասխանում են <լուսային> պլոմբաները:

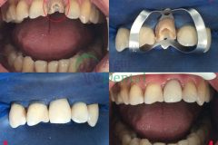
Ագաթ Դենթալ ատամնաբուժարանի բժիշկները առաջարկում են բացակայող ատամի վերականգնման  շատ հետաքրքիր տարբերակ, որը կոչվում է ադգեզիվ կամրջաձև կոնստրուկցիա:

Այդ մեթոդի առավելությունները՝

  • Հենակետային ատամի մինիմալ հպում առանց նյարդերի հեռացման
  • Բացակայող ատամի վերականգնում մեկ բուժայցի ընթացքում առանց լաբորատոր փուլի
  • Ատամնային շարքի էսթետիկ և ֆունկցիոնալ ամբողջականության վերականգնում
  • Ծամողական ճնշման ոչ տրավմատիկ բաշխում մետաղական հիմքի բացակայության հաշվին
  • Ծնոտի ոսկրի դեստրուկցիայի պրոֆիլակտիկա
  • Համեմատաբար մատչելի գին մետաղակերամիկական կոնստրուկցիաների համեմատ