«Agat Dental»-ում ժամանակակից օրթոպեդիան համապատասխանում է ճշգրտության, էսթետիկայի և անհատական մոտեցման բարձր չափանիշներին։ Մենք վերականգնում ենք կորցրած ատամները այնպես, որ դրանք տեսքով և զգացողությամբ հնարավորինս բնական լինեն։ Օգտագործում ենք միայն բարձրորակ նյութեր, որոնք ապահովում են դիմացկունություն և հարմարավետություն։ Մեր բժիշկները ձեզ համար կընտրեն ամենահարմար տարբերակները՝ իմպլանտներ, կամրջակներ, վինիրներ, հանվող կամ ոչ հանվող կոնստրուկցիաներ՝ ելնելով բերանի խոռոչի վիճակից և ձեր ցանկություններից։ Ժամանակակից սարքավորումները թույլ են տալիս հասնել բարձր ճշգրտության ։ Յուրաքանչյուր կոնստրուկցիա պատրաստվում է հաշվի առնելով անհատական անատոմիան՝ կծումի և ժպիտի առանձնահատկությունները։ Մենք մեծ ուշադրություն ենք դարձնում էսթետիկային, որպեսզի վերջնական արդյունքը լինի ներդաշնակ և բնական։ Բուժման գործընթացը անցնում է առավելագույնս հարմարավետ և հանգիստ միջավայրում։ Մեր հիվանդները գնահատում են ուշադրությունը, նրբանկատությունն ու բարձր պրոֆեսիոնալիզմը։ Օրթոպեդիկ բուժումը մեր կլինիկայում օգնում է վերականգնել ինքնավստահությունը, կյանքի որակը և լիարժեք ծամելու ֆունկցիան։ Վստահեք ձեր ժպիտը մեր փորձառու բժիշկներին, և մենք կստեղծենք արդյունք, որը ձեզ կուրախացնի շատ տարիներ։
Վինիրներ

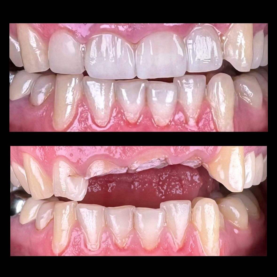
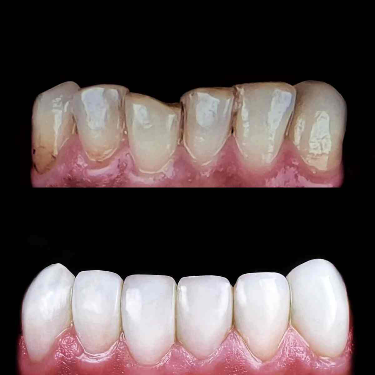
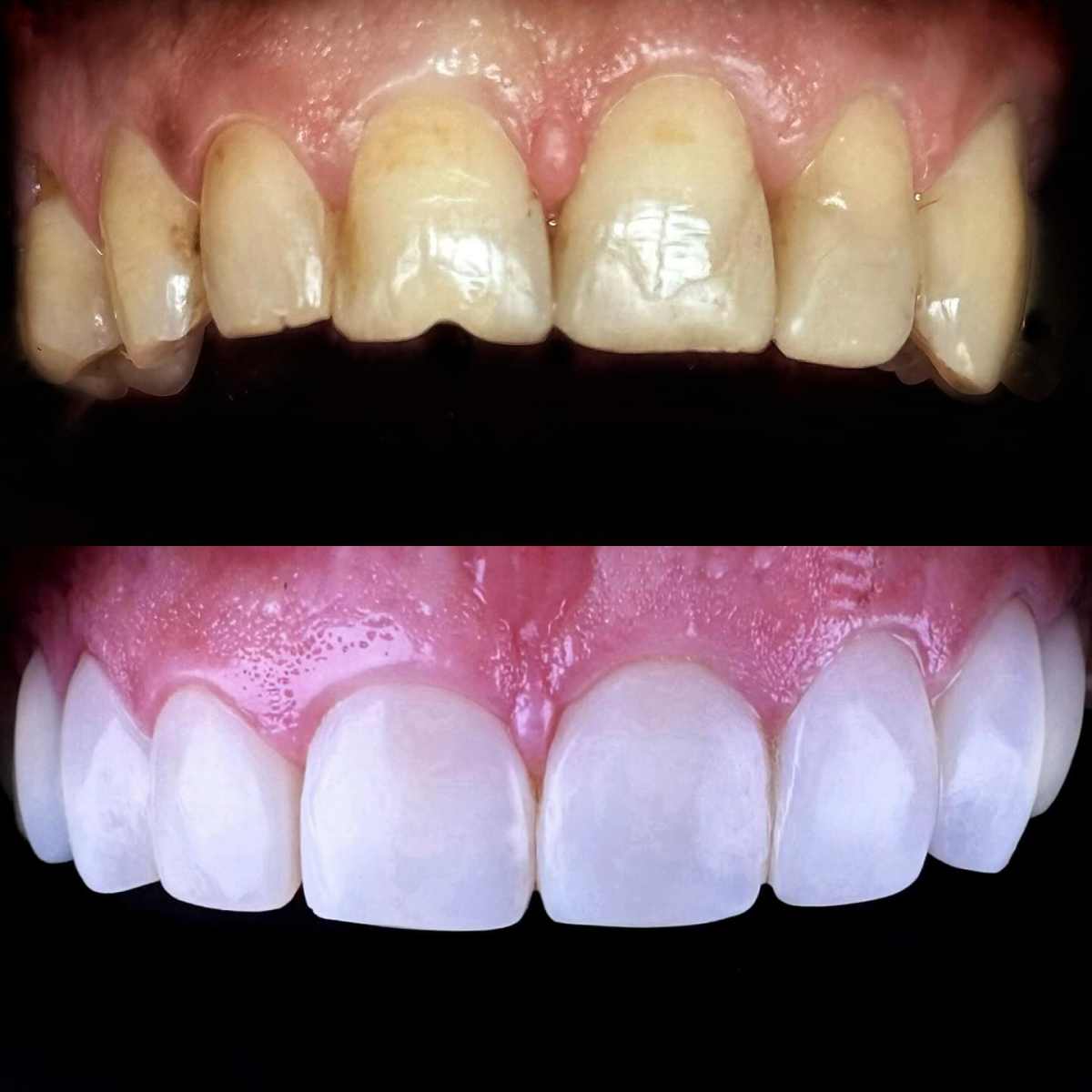
Վինիրները իրենցից ներկայացնում են միկրոպրոթեզներ, որոնցով երեսպատվում են ժպիտի գծի մեջ մտնող ատամների դիմային մակերեսները,: Վինիրները թույլ են տալիս վերականգնել ինչպես առանձին վերցված, այնպես էլ շարքով ատամների գույնը և ձևը: Ի տարբերություն շապիկների, նրանք ծածկում են ոչ թե ամբողջական ատամը, այլ որոշակի մակերեսը:
Առավելությունները
- Կառույցի պատրաստման արագությունը. կոմպոզիտային վինիրների դեպքում բավական է մեկ բուժայցը
- Երկարակեցություն, հատկապես կերամիկական վինիրների պատրաստման դեպքում
- Հիանալի կոսմետիկ էֆեկտ՝ մետաղական և ոչ թափանցիկ այլ նյութերի բացակայության հաշվին: Ժամանակակից կերամիկան թափանցիկ է՝լույս թափանցելիս ստացվում է բնական տեսք:
Լյումինիրներ

Լյումինիրը կերամիկական զանգված է, որը տեղադրվում է ատամի մակերեսի վրա ինչպես վինիրը, սակայն այն ավելի բարակ է: Լյումինիրները գրեթե չեն պահանջում ատամի հղկում և այդ ամենով հանդերձ ամրությամբ չեն զիջում վինիրներին:
Լյումինիրների հիմնական նշանակությունը ատամի և ատամնային շարքի դեֆեկտների վերացումն է և հիվանդին ձյունաճերմակ ժպիտ պարգևելն է:
Առավելությունները
- Չի պահանջում ատամի հղկում
- Գրեթե չի պահանջում անզգայացում
- Ժամանակավոր կոնստրուկցիաների կարիք չունի
- Չի փոխում գույնը ՝ ի տարբերություն պլոմբանյութերի
- Անվնաս է ատամների համար
- Կրճատում է կարիեսի հավանականությունը
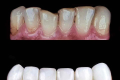
Արհեստական պսակ (շապիկ)

Արհեստական պսակը անշարժ կոնստրուկցիա է, որը ծածկում է ատամի երևացող մասը : Պատրաստվում է ըստ հիվանդի ատամի անհատական չափսի և լիարժեք կրկնօրինակում է ատամի անատոմիական ձևը, գույնը և այլ առանձնահատկությունները: Որակյալ արհեստական պսակը բացարձակ աննկատ է և լիարժեք թաքցնում է ատամի դեֆեկտները՝ կոտրվածքները և այլ թերությունները: Պսակը նաև օգտագործվում է այլ ատամնային կոնստրուկցիաների ֆիքսացիայի նպատակով:
Առավելություններ
- Էսթետիկություն
- Գնային հասանելիություն
- Ձուլովի կամ արհեստական պսակները չեն պահանջում ատամի խորը հղկում
- Կերամիկական շապիկները իդեալական տարբերակ են դիմային ատամների պրոթեզավորման համար
- Կերամիկական պսակները համատեղելի են ատամնային և լնդային հյուսվածքների հետ
- Տեղադրված արհեստական պսակը անկենսունակ ատամի վրա երկարացնում է նրա գործառությունը
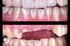
Իմպլանտների հիմքով պրոթեզվորում

Իմպլանտների վրա պրոթեզավորումը կայանում է նրանում, որ արհեստական ատամները ֆիքսվում են ծնոտի ոսկրի մեջ ինտեգրված տիտանային շտիֆտերի (իմպլանտների) վրա: Ատամի իմպլանտացիայի վիրահատական փուլը տևում է միջինում 3-5 ամիս (այս ժամանակահատվածում տեղի է ունենում իմպլանտի և ոսկրի սերտաճում): Դրանից հետո կարելի է անցնել պրոթեզավորման: Իմպլանտների վրա պրոթեզավորումը կարող է լինել շարժական և անշարժ:
Որպես կանոն անշարժ պրոթեզավորումը իմպլանտների վրա կատարվում է այն դեպքում, երբ հիվանդի մոտ բացակայում է մեկ կամ մի քանի ատամ:
Շարժական պրոթեզավորում իմպլանտների վրա

Շարժական պրոթեզավորումը իմպլանտների վրա , որպես կանոն կատարվում է ինչպես ատամների ամբողջովին բացակայության դեպքում, այնպես էլ ատամների քիչ թվաքանակի դեպքում: Այս դեպքի ժամանակ պրոթեզի կցումը իմպլանտի հետ կատարվում է միկրոկողպեքի օգնությամբ: Միկրոկողպեքի կեսը տեղադրվում է պրոթեզի վրա, իսկ մյուս կեսը՝ իմպլանտի վրա: Պրոթեզի վրա ճնշում գործադրելու ժամանակ այն հուսալի ֆիքսվում է իմպլանտի հետ և կայուն է մնում բերանի խոռոչում: Մասնակի շարժական պրոթեզները օգտագործվում են մեկ կամ մի քանի ատամների կորստի ժամանակ և ատամնաշարի փոքր դեֆեկտների դեպքում: Այն կարող է նաև ծառայել՝ որպես խնդրի ժամանակավոր լուծում, մինչ վերջնական կոնստրուկցիայի պատրաստումը: Այն հարմար է այն առումով, որ չի հանվում բերանի խոռոչից և չի անհանգստացնում հիվանդին:
Լրիվ շարժական պրոթեզները օգտագործվում են ատամների ամբողջական կորուստների դեպքում և փոխարինում են ծնոտը ամբողջությամբ:
Բյուգելային պրոթեզ

Սա շարժական պրոթեզի տարատեսակ է: Նրա անվանումը ծագում է <bugel> բառից, որը նշանակում է կոր: Ի տարբերություն պլաստմասայից պատրաստված այլ համանման կոնստրուկցիաների, բյուգելի հիմքում ընկած է ձուլովի մետաղական հիմք, որի վրա դրվում է ակրիլային հիմքը և այնուհետև տեղադրվում են արհեստական ատամները: Բյուգելի ամուր հիմքը ազատում է ատամնատեխնիկին հաստ պլաստմասային շերտ պատրաստելուց: Դրա հաշվին կոնստրուկցիան ստացվում է ավելի փոքր և չափսերով, և ծավալով և դառնում է ավելի հարմար կրելու համար:
Առավելությունները
- Բյուգելային պրոթեզի չափսերը , այսինքն հաստությունը և ծավալը ավելի քիչ է, քան պլաստմասե պրոթեզներինը
- Վերին ծնոտի վրա տեղադրման ժամանակ առկա է միայն բարակ մետաղական կոր, այլ ոչ թե մեծ ծավալային պլաստմասե զանգված, որը ծածկում է քմային հատվածը և չի թողնում հիվանդին լիարժեք զգալ սննդի համը, ինչպես նաև խոչընդոտում է խոսելու պրոցեսին
- Ստորին ծնոտի պրոթեզավորման ժամանակ բյուգելային պրոթեզը չի խոչընդոտում լեզվի ազատ շարժին, ինչը կարևոր է թե ծամողական, թե խոսակցական առումներով
- Բյուգելային պրոթեզը դիմանում է 5 տարի, իսկ դա 2 անգամ ավելի է, քան այլ շարժական պրոթեզների օգտագործման ժամկետները
- Ոսկրային և լնդային հյուսվածքները, որոնք անմիջապես շփվում են բյուգելային պրոթեզի հետ, քիչ են օտրոֆիայի ենթարկվում: Հյուսվածքների օտրոֆիան վատացնում է ֆիքսացիան և առաջացնում է ցավեր և այլ տհաճ զգացողություններ
- Բյուգելային պրոթեզը տարբերվում է իր բարձր ամրությամբ, քանզի նրա հիմքում ընկած է ձուլովի մետաղական հիմք
Ատամների իմպլանտացիա
Իմպլանտալոգիան ստոմատոլոգիայում զբաղվում է կորցրած ատամների կամ ատամնաշարերի ֆունկցիայի վերականգնմամբ: Կարելի է ասել, որ դա անշարժ պրոթեզավորման յուրահատուկ տեսակ է: Իմպլանտացիան կարող է փոխարինել շարժական պրոթեզավորմանը, և եթե որոշ դեպքերում շարժական պրոթեզի կիրառումը անհնարին է կամ դժվար՝ էսթետիկ նկատառումներից ելնելով, ապա ելքը այդ վիճակից ատամնային իմպլանտացիան է:
Ատամնային իմպլանտացիայի ժամանակ ծնոտի ոսկրային հաստության մեջ տեղադրվում է իմպլանտանտը, որը հետագայում ծառայում է որպես հենակետ ատամնային պրոթեզի համար: Ներկա պահին գոյություն ունի ատամնային իմպլանտանտների մեծ տեսականի, որոնցից յուրաքանչյուրը ունի իր առավելությունները և թերությունները:
Ատամնային իմպլանտացիան կատարվում է երեք փուլով: Առաջին փուլում իմպլանտանտը տեղադրվում է ծնոտի հաստության մեջ վիրահատական ճանապարհով: Սերտաճման ժամանակահատվածից հետո իմպլանտանտին կցվում է աբաթմենթը, որը կապող օղակ է հանդիսանում իմպլանտանտի և արհեստական պսակի միջև: Դա վիրահատության երկրորդ փուլն է: Այնուհետև տեղի է ունենում օստեոինտեգրացիա, որի ընթացքում իմպլանտանտը և ծնոտի ոսկորը սերտաճում են այնպես, որ իմպլանտանտը դառնում է ծնոտի մի մասնիկը: Երրորդ փուլում պատրաստվում է ատամնային պրոթեզը և կցվում է իմպլանտային համակարգին: Արդյունքում ստանում ենք բնականին շատ մոտ նոր ատամնաշար:
Իմպլանտացիայի բացարձակ հակացուցում է համարվում
- Արյունաստեղծ օրգանների և արյան հիվանդությունները, օրինակ՝ արյան մակարդելիության խնդիրները, որոնք դարձնում են ցանկացած վիրահատություն անհնարին, որովհետև առաջացնում են լուրջ արյունահոսություններ
- Կենտրոնական նյարդային համակարգի հիվանդություններ (բնածին ու ձեռքբերովի): Դրա ամենավառ օրինակ են հանդիսանում նյարդային հիվանդությունները, որոնց ժամանակ հիվանդը կարող է ոչ ադեկվատ ընկալել բուժման գործընթացը և կանոնները
- Տարբեր օրգանների և օրգան-համակարգերի չարորակ նորագոյացություններ: Վիրահատական միջամտությունը այդ դեպքերում կարող է ազդել ուռուցքի աճի և տարածման վրա
- Հիվանդի իմունոլոգիական վիճակը: Վիրահատական միջամտությունը պահանջում է իմունային համակարգից բավականին ակտիվ և լարված աշխատանք հյուսվածքների նորմալ վերականգնման համար
- Շարակցական հյուսվածքի համակարգային հիվանդություններ՝ կլերոդերմիան, ռևմատիկ և ռևմատոիկ հիվանդությունները դարձնում են իմպլանտացիայի գործընթացը անհնար
- Տուբերկուլիոզը և նրա բարդությունները
- Բերանի խոռոչի լորձաթաղանթի որոշ հիվանդություններ, որոնցից են խրոնիկ ռեցեդիվող ավտոզ ստոմատիտները, կարմիր գայլախտը, շեգրենի սինդրոմը և այլն
- Առաջնային տեսակի շաքարային դիաբետ